
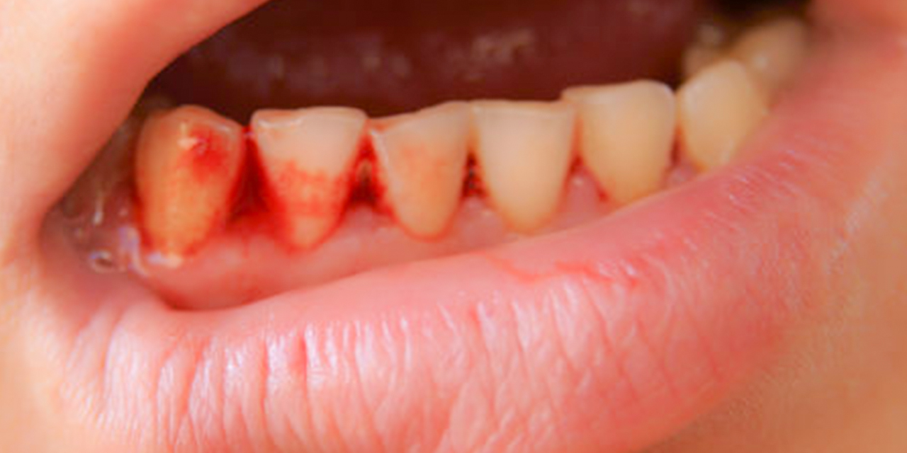
សុខភាព៖ ដើម្បីព្យាបាលអាការអញ្ចាញ់ធ្មេញហូរឈាម និងហើម លោកអ្នកអាចអនុវត្តតាមវិធីងាយៗខាងក្រោមនេះបាន។
លោកអ្នកអាចជ្រើសរើសវិធីណាមួយក៏បាន ដែលយល់ថាងាយស្រួលសម្រាប់លោកអ្នក។
១- យកអំបិលចំនួនមួយស្លាបព្រាកាហ្វេ និងទឹកក្តៅឧណ្ហៗ ១កែវលាយចូលគ្នាឲ្យសព្វ។ បន្ទាប់មកយកទឹកអំបិលខ្ពុរឲ្យបានពេញមាត់ចេញជាការស្រេច។
២- ច្របាច់យកទឹករបស់ខ្ញី មកលាបលើអញ្ចាញធ្មេញ បន្ទាប់មកទុកចោល ១០ ទៅ ១៥ នាទីខ្ពុរមាត់ចេញជាការស្រេច។
៣- ចាក់ទឹកឃ្មុំល្មមនៅលើម្រាមដៃ រួចធ្វើការម៉ាស្សាថ្មមៗនៅលើអញ្ចាញធ្មេញជាការស្រេច។
៤- យកក្រូចឆ្មារសំបកលឿង ច្របាច់យកទឹករបស់វា ហើយចាក់លាយជាមួយនឹងទឹកមួយពែង រួចយកមកខ្ពុរលាងសម្អាតមាត់របស់អ្នក ក្រោយពេលទទួលទានអាហារជាការស្រេច។
សូមបញ្ជាក់ថា វិធីសាស្រ្តនីមួយៗខាងលើនេះ សូមអនុវត្តឱ្យបាន ២ ទៅ ៣ ដងក្នុងមួយថ្ងៃ។





Comments